
난 싫어하는 것이 많지만 인간관계에서 큰 갈등상황에 처하는 경우는 별로 없다.
인간은 타인에 의해서는 변하지 않는다고 생각하기 때문에 갈등상황 도달 전 관계를 정리하기 때문이다.
그럼에도 불구하고 살면서 다툰 적이 몇 번 있는데 어느날 상대에게 공통점이 존재한다는 것을 깨달았다.
모두 우울증 진단을 받은 사람들이었다.
그런데 또 단순히 우울증에 걸린 것만이 아니고 (왜냐면 우울해도 잘 지내게 되는 사람도 있음)
그 중에서도 유독 나르시스틱하고 에너지가 외부로 향하는 사람들이 있는데
이런 타입과는 십중팔구 부딪히게 됨. 갈등의 양상도 항상 똑같음
상대가 나에게 자신에 대한 정보를 주입 -> 일단 들어봄 -> 똑같은 말 반복 -> 거리를 두기 시작 ->
공감과 경청에 대한 요구가 집요해짐 -> 거절 -> 상대 극대노 -> 차단
그리고 보통 이런 상황에서 내가 가해자가 되는 경우가 많은데 (왜냐면 차단당한 상대가 분노와 슬픔을 주변에 호소)
그 모습을 보며 들던 의문
1. 어떻게 저렇게 좆노잼인 자기 얘기를 반복할 수가 있는가?
2. 자신을 거절한 상대에게 격분까지 하는 심리는 무엇인가? (나 역시 차단을 당한 적이 있지만 그건 내가 차단 당할 만한 짓을 했기 때문이다) 어째서 타인이 자신의 이기적 요구를 무한정 수용해야 한다고 생각하는지?
하도 이해가 안되니까 빡쳐서 그린 그림이 저 위에있는 노란 대가리이다.
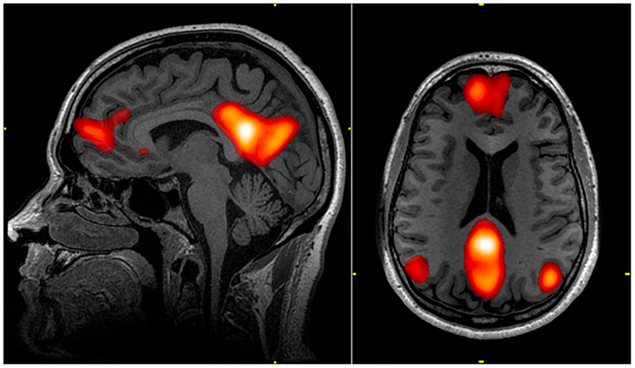
이렇듯 우울러들의 심리적 매커니즘은 쭉 미스터리로 남았는데, 최근 DMN이라는 것에 대해 알게되었다.

우리 뇌에는 디폴트 모드 네트워크(default mode network), 즉 DMN이라는 것이 존재한다.
디폴트 모드니까 멍때릴 때는 켜지고 업무나 운동 등 외부에 몰입거리가 있을 때는 꺼진다.
우리가 멍때릴 때 뇌가 주로 뭘 하고 있는지 떠올려보자.
그 새끼가 전에 나한테 그런 말을 했지, 다음 주에 있을 파티에 이런 옷을 입어야지, 저번에 산 복권이 당첨되면 뭘 할까,
이렇듯 기억을 떠올리거나 계획을 수립하는 등 과거와 미래에 대한 생각을 하게 된다.
그리고 그 과거와 미래에 대한 생각들은 대부분 '나' 의 과거와 '나' 의 미래에 대한 생각들이다.
DMN이 켜져있을 때 우리의 뇌는 자신에 대한 생각으로 넘쳐나고 자아에 대한 의식들을 확립하게 된다.
불교식으로 말하면 아상을 짓기 시작하는 것이다.
디폴트 모드가 불필요한 것만은 아니다. 기억 등을 반추하는 행위는 학습에 꼭 필요한 과정이기도 하다.
하지만 과도하게 기능하면 내면에 지나치게 침잠해 자기 생각밖에 할 수 없는 상태가 되어버린다.
타인과의 소통능력, 일에 대한 집중도 역시 떨어지게 된다.
주요 우울장애가 있던 환자들의 경우 저 DMN이 과도하게 활성화 되어있었다고 한다.
이 대목에서 정말 유레카를 외쳤다. 우울러들의 병리적 사고과정을 이해할 수 있게 된 것이다.
왜 그렇게까지 자기 얘기만 하는지, 왜 지나간 일과 미래에 대한 망상으로 자신과 타인을 괴롭히는지 이해가 되었다.
이해가 되면 빡칠 일이 덜 생긴다.
그냥 뇌의 설정이 그렇게 맞추어져 있다는데 뭘 어떻게 할 것인가? 본인들이 제일 괴로울 것이다.
그리고 우울증 진단을 받은 사람이 아니더라도 저 DMN은 상황에 따라 과도하게 활성화 될 수 있다.
방콕에 거주할 때 스스로를 장기간 고립시킨 적이 있는데 외지에서 사람까지 만나지 않으니
불과 두어 달 여만에 상당히 정신병적 상태가 되었다.
이 때 뭘 했냐면, 셀카를 엄청 많이 찍었다. 발가락도 찍고 엉덩이도 찍고 아무튼 수백장을 찍었는데,
그때 고립이 이런 식으로 인간을 미치게 만드는 거구나 하는 생각을 했고 우울감을 느꼈다.
고립되니까 우울해지고, 우울해지니까 자신에 대한 생각이 많아지고, 남을 받아들일 여유가 사라지고,
그럼으로써 더욱 더 고립되고, 악순환이라고 생각했다.
영국정부가 외로움 부서(Ministry of Loneliness)를 설립했다고 한다.
늘어나는 1인 가구, 발달한 소셜네트워크 플랫폼 등은 개인을 더 나르시스틱하고 자폐적으로 만든다고 생각한다.
DMN이 과도하게 활성되기 딱 좋은 시대인 것이다.
사이키델릭 드러그인 LSD는 저 DMN을 일시적으로 비활성화시킨다. 하지만 불법이고 인지를 왜곡시킨다는 점에서 위험성이 존재한다.
합법적으로 DMN을 억제시키는 방법으로는 명상이 있다 ^^
* 주의점: 중증 우울증 환자가 암것도 안하고 명상만 들이파면 오히려 상태가 악화되는 경우도 있다고 하니
본인의 우울이 심각한 수준이라면 일단 몸을 움직이는 외부의 몰입거리부터 만드는 것이 좋다고
 진정하세요