이 책의 내용을 한줄 요약한다면 <인간은 변한다> 임
오랫동안 인간은 정말 안 변하는구나 징글징글하다 라는 생각을 해왔는데
아니!!! 인간은 변함. 다만 남이 변화시킬 수 없고, 시간과 올바른 방법이 필요하다.


공동 저자인 대니얼 골먼과 리처드 J 데이비슨은 명상 연구 계열의 고인물 학자들임
티모시 리어리가 LSD새마을운동을 시작하고 히피들의 반전무브먼트가 한창이던 60년대 말 소년기를 보냄
그니까 뻘짓이든 인간 정신에 대한 놀라운 발견이든 본게 많을 거임
( 여담이지만 티모시와 함께 새마을운동을 주도하던 람다스 하버드 교수는 여행 중 만난 명상스승에게 LSD 투여 후 그가 전혀 반응하지 않는 것을 목격한 뒤 환각제를 버리고 수행자가 됨 )
티모시들이 쫓겨난 하버드에 5년 후 입성한 이들은 명상과 뇌신경과학의 연관성에 대해 집중했고,
이 혹하는 주제에 대한 대중의 근들갑과 사기꾼들에 대해 각별히 주의하는 태도를 보임
첫 챕터에서부터 현재 명상과 관련된 논문들 중 대다수가 변별력이 없고,
명상 앱들이 과대광고하는 효과들은 과학적으로 증명된 것이 아니기 때문에 자기들이 명상의 효과 중 유효한 것만을 밝히겠다는 선언을 박고 시작함
아래로 흥미로웠던 내용 요약 발췌
( 과학자들답게 확언을 삼가고 '그런 것으로 보인다, 이 결과는 과학적으로 신뢰할 만 한 거 같다' 등 완곡한 표현을 사용하는데 나는 걍 그렇다 라고 씀. 감안하고 읽어주세요 )
반복된 경험은 뇌에 흔적을 남긴다
인간 뇌 속 뉴런의 수는 태어난 직후부터 점점 줄어들어 뇌기능을 떨어트리고, 경험은 거기에 영향을 미칠 수 없다는 것이 옛날 과학계의 통념이었음
그런데 80년대 맥윈이라는 과학자가 나무두더지들을 데리고 실험을 함
서열1짱 알파 두더지와 서열 최하위 찐따 두더지를 한 우리에 넣고 찐따 두더지가 고통받게 만듬
28일이 지나자 불쌍한 찐따 두더지의 뇌는 기억을 담당하는 해마 수상돌기가 줄어들어버림

반면 다이아몬드라는 과학자는 긍정적 경험에 대한 실험을 했는데
심심하게 지낸 쥐 vs 장난감, 친구들과 함께 뛰어놀며 지낸 쥐 뇌 차이를 분석함
행복한 쥐들의 뇌는 뉴런을 연결하는 가지들이 두터워지고 주의력과 자기조절에 중요한 부위인 전전두피질까지 커짐
이에 뇌과학계는 <반복된 경험은 뇌에 흔적을 남긴다!> 라는 요즘 세상엔 얼핏 당연하게도 들리는 주장을 수용하게 됨
타고나는 거냐 양육이냐 (nature vs nurture),
현대에도 이념에 따라 왜곡되곤 하는 이 주제에 대한 다툼을 해결하기 위해 리처드는 <신경가소성> 이라는 개념을 창안함.
자연과 양육 중 하나를 선택할 필요는 없었음
그 두가지는 상호작용하며 영향을 미치기 때문
그리고 몇년 후 인간이 악기연주에 통달하게 되면 관련 뇌 중추 크기들이 커지는 등 (연주시간이 길수록 더 커짐) 이 신경가소성 이론을 뒷받침하는 연구들이 쏟아져 이론에 힘이 실림
뇌는 성장과 재조직을 통해 평생에 걸쳐 변화함

목적의식이 인간의 심신을 강화
나치수용소에서 몇년을 보낸 신경학자 빅터 프랭클은 자신과 몇몇 사람이 살아남을 수 있었던 데는 삶의 의미와 목적이 매우 중요했다는 저술을 함
그는 수용소에서 다른 죄수들을 대상으로 심리치료사 역할을 했는데 거기에 강한 목적의식을 느낌
살아남은 다른 두 명 역시 한 명은 수용소에서 나가서 돌봐야할 아이가 있었고, 다른 한 명은 써야만 할 책이 있다는 간절한 목적의식을 가지고 있었다고
미국 질병통계국의 조사에 따르면 직업과 가족에 대한 의무 외에 삶에 강한 목적의식을 가지고 있다고 느끼는 미국인은 절반에 못 미친다고 함
(이 대목을 읽으며 주입식 교육을 받고 순응적 인간상을 기대받는 한국인들의 경우 목적의식을 가지기 더 힘들지 않을까 하는 생각을 했는데 그래서 과시와 폭음 등 피상적인 자극만 찾는 노잼문화가 발달한 거 같음)
암튼 이와 비슷한 발견이 명상에도 있었는데
3개월간 540여 시간의 집중명상을 마치고
삶의 목적의식이 강화된 수행자들은 면역세포 내 텔로머레이즈 활동이 증가했고 5개월 이후까지 그 상태가 유지됨
텔로머레이즈 효소는 텔로미어를 보호하는데 텔로미어는 세포의 수명에 영향을 미침

자애명상과 연민
자기연민의 반대는 나는 병신일뿐 류의 자기비난, 우울사고에서 흔히 나타남
그래서 스스로를 연민의 눈으로 봐 주는 것은 우울의 해독기능이 될 수 있음
자기 비난이 심한 사람들에게 자애명상을 가르쳤더니 자기연민심이 향상됨
타인의 안녕에 대해 관심을 갖게되면 연민심 관련 회로뿐만 아니라 행복을 위한 뇌 회로도 따라 날뜀
또 자애심은 즐거움과 행복을 위한 행동을 유도하는데 중요한 영역인 전전두피질 연결을 증진함
그리고 이 영역들 간의 연결이 증가할수록 사람은 더 이타적이 됨
한마디로 자기 자신을 사랑하지 않는 사람은 남을 사랑할 수 없다 이거야~~ 일종의 선순환
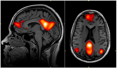
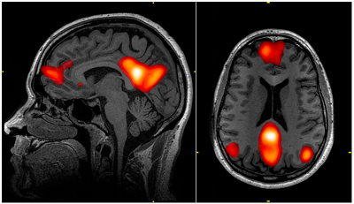
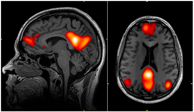
고통에 대한 편도체를 활성화해 공감능력을 일깨우는 자애명상은 겨우 8시간만 수련해도 효과가 빨리 나타남. 16시간하면 무의식적 편향도 감소됨

명상은 과활성된 DMN모드를 진정시킨다.
꽤나 현대에 와서야 존재가 밝혀진 DMN모드는 몰입할 거리가 없을 때 마음이 방황하는,
일종의 산만한 멍때리기 상태일때 활성화 되는 모드임
나 이런사람이야~ 불교식으로 말하면 아상을 짓는 부분이기도 함
우울증 환자들의 뇌를 분석한 결과 이 모드가 과활성 되어있었음
자세한 설명까지 적자면 너무 길어짐으로 링크로 대체 https://digthehole.com/4923

어두운 밤
위빠사나 명상수행 중 매우 견디기 힘든 정신상태,
자기혐오의 물결이 나를 뒤덮는 소위 말하는 '어두운 밤' 상태에 빠질 수 있음
( 나에게 처음 위빠사나 센터에 대해 알려준 작가도 이걸 겪은 모양인데 10일 코스 하는 동안 평생 저지른 잘못이 죄다 떠오르고 죄책감때문에 미칠 거 같았다고, 나보고 가지 말거나 더 짧은 코스를 가라고 함. 그래도 가겠다고 하니 그럼 가기 전 몇 달 동안은 술이나 약 등 정신에 자극을 미칠 수 있는 물질들을 하지 말라는 실질적 조언을 줌. 자기는 신년파티때 약을 너무 많이 해서 그런 상태가 왔던 거 같다고.. 하지만 나는 아직까진 수행 중 이런 일을 겪진 않았음 )
물론 이 상태도 관찰을 하다보면 빠져나올 수 있게됨.
하지만 극소수의 경우 명상센터를 떠난 후에도 한동안 이 상태가 지속되는 경우가 있다고 함
위빠사나 뿐만이 아니고 대부분의 명상전통이 여기에 대해 경고함
예를들어 유대교 카발라 전통에서는 사색적 방법들이 중년에 가장 적합하다, 미성숙한 자아는 무너질 수 있기 때문이다, 라는 말이 있다고 (어린이 명상 코스가 다른 방식으로 진행되고, 심각한 정신장애가 있는 사람들을 명상센터에서 받지 않는 이유도 이것일듯)
여기에 대한 연구는 아직 진행 중임
브라운 대학교의 심리학자 윌로비 브리튼은 명상을 하며 심리적 어려움을 겪는 사람들을 돕기위해 어두운 밤 프로젝트를 이끌고 있음

노잼 인생을 만드는 <습관화>로부터의 자유
습관화는 반복적으로 들리는 소리에 관심을 꺼버리고 맨날 보는 이쁜 마누라는 안 이뻐보이게 만드는 신경과정임
주의피로를 줄이기 위한 기능이지만 인간을 권태롭게 만들어 파괴적인 고자극제를 필요로 하게 만들기도 함
( 현대인의 과잉소비와 우울증의 원인 중 하나도 이 습관화라고 생각함. 너무 많은 자극제를 접하다 어떤 것에서도 큰 재미를 느끼지 못하게 되는.. 주구장창 념글만 찾아보고 있으면 다 재미없고 뇌가 곤죽되는 느낌 받는 것처럼 )
3년간의 집중수행을 마친 명상가들은 습관화 경향이 덜하다는 것이 실험을 통해 발견됨
달라이 라마나 밍규르 린포체같은 인생의 대부분을 수행에 바친 네임드 명상러들은 아마 훨씬 더 습관화 경향이 적을 것

인지조절은 강화시킬 수 있다
우리가 주의를 흩뜨러뜨리는 것들의 바다에 빠지기 수십 년 전, 인지과학자 허버트 사이먼 Herbert Simon은 다음과 같은 선견지명을 보였다.
"정보가 소비하는 것은 주의력이다. 풍부한 정보는 주의력의 빈곤을 의미한다."
(중략) 또한 사회적 연결도 어떤 식으로든 약화되고 있다.
아이에게 스마트폰을 내려놓고 지금 대화 중인 사람의 눈을 보라고 말하고 싶은 충동을 느낀 적이 있는가?
그런 충고가 필요한 상황이 점점 더 잦아진다.
주의를 흩뜨리는 디지털 기기들이 또 다른 종류의 희생을 요구하고 있기 때문이다. 공감과 사회적 현존 같은 기본적인 인간적 기술의 희생이다. p213
다중 작업을 하다 원래작업으로 돌아오면 집중 강도가 현저하게 저하됨.
이런 해악은 삶으로까지 스며들어 우리로 하여금 정말 중요한 것이 무엇인지를 잊게만듬
인지조절은 특정한 목표나 과제에 집중하고 그것을 수행하게 만드는 능력인데 다중작업은 바로 이 중요한 능력을 훼손함
다행히 인지조절은 강화시킬 수 있음
10분 동안 집중해서 호흡을 세는 것을 단 세 번만 해도 집중력이 눈에 띄게 향상됨
대부분의 명상법은 단기간에 모든 뇌성능을 향상시킴. 하지만 효과가 지속되진 않았음

끊임없는 스트레스와 걱정은 세포의 노화에 지대한 영향을 준다.
생각으로 방황하는 산만한 마음도 마찬가지다. 데이비드 크레스웰은 스트레스가 높은 실직 상태에서 구직 활동을 하는 사람들을 모집한 뒤, 사흘 동안 마음챙김 수련 프로그램 혹은 이완 프로그램을 실시했다.
프로그램에 참가하기 전후에 혈액 샘플을 채취해 분석한 결과, 마음챙김 명상가들은 친염증성 사이토카인이 감소했지만, 이완 프로그램에 참여한 이들은 변화가 없었다.
그리고 fMRI 스캔에서는 전전두피질 부위와 디폴트 영역 간의 연결이 증가할수록 사이토카인의 감소 폭이 더 큰 것으로 발견되었다.
아마 절망감과 우울감으로 가득찬 파괴적인 자기 대화에 제동을 거는 것도 사이토카인 수치를 낮추는 데 일조했을 것이다. 자기와의 우울한 대화는 건강에 직접적인 영향을 미친다.

하면 할 수록 점점 쉬워지는
사람들은 감정적인 소리에 반응해 편도체가 활성화될수록 집중이 깨지고 산만해짐
평균 수련 시간이 44,000시간이나 되는 명상가들의 편도체는 감정적인 소리에 거의 반응하지 않음
그러나 평균 수련 시간이 19,000시간인 장기명상가들의 편도체는 강렬하게 반응함
두 집단의 편도체 반응 차이는 무려 400퍼센트!
고대의 명상 안내 책자들에 따르면, 생각을 내려놓는 일은 뱀이 똬리를 푸는 것과 같다. 즉 어느 정도의 노력이 필요하다. 그러나 나중에는 어떤 생각이 마음에 떠오르든 그 생각들은 그냥 빈집에 들어온 도둑 같은 신세가 된다. 훔칠 것이 아무것도 없어서 그냥 떠날 수밖에 없다.
처음에는 노력을 들이다가 나중에는 노력이 필요 없는 상태로 전환하는 것은 명상의 다양한 길에서 보편적인 주제인 듯하다. p242

시간을 투자하면 이점들도 장기화됨
명상을 시작한 지 몇 시간, 며칠, 몇 주 만에도 여러 효과가 나타난다.
무엇보다 처음에는 스트레스에 대한 편도체 반응성이 감소한다.
2주 동안 명상을 수련하면 주의력이 높아진다. 또한 집중력이 개선되고, 마음의 방황이 감소되며, 작업 기억이 향상된다.
그 중에서도 작업 기억은 시험 점수가 높아지는 구체적 혜택으로 이어지기도 한다. 수련 초기의 이점 중 하나로 공감 관련 뇌 회로의 연결성이 높아지기도 하는데, 연민 명상에서 얻을 수 있는 효과다.
명상수련을 30시간 정도 하면 염증의 지표가 다소 줄어든다. 이렇게 적은 시간을 투자해 생기는 이점들은 금방 사라질 가능성이 있다.
하지만 시간을 투자하면 할수록 이점들도 장기화됨
긴 시간을 수련한 수행자들의 경우 일상생활에서도 계속 명상 상태에서 보이는 신체반응이 나타남
---
요약 끝
두꺼운 책이지만 글빨이 좋아서 술술읽힘
40여년에 걸친 연구기간 동안 실험 망한 이야기나 사기꾼들에게 낚인 일화, 달라이라마 조셉 골드스타인 잭 콘필드 밍규르 린포체 등 명상계 고인물들 젊은 시절 이야기도 나와서 그것도 재밌는 포인트
개인적으로 좋았던 점
위빠나사 10일 코스를 세 번하고 지난 1년간 거의 매일 명상을 하면서도 끊임없이 떠오르던 의문 중 하나는
대체 왜 아침저녁 하루 두 시간을 앉으라는 건가, 왜 하필 두 시간인가 였는데
왜냐면 고타마 붓다 생전에는 시계가 없었을 테니까?
고엔카지의 설명은 나같은 의심쩌는 현대인에게는 좀 부족한 느낌이 있었는데
두 시간은 사느라 바쁜 인간들을 위한 최소 단위이고, 걍 시간을 많이 투자할수록 명상의 긍정적 영향이 체화된다는 것을 과학의 언어로 듣고나니 속이 시원함
( 별개로 담마센터에서는 하루 두 시간을 채우지 않았다고 하더라도 스스로를 비난하지 말라는 메시지가 강조되는데 여기에 대해서는 따로 정리하겠음 )
내돈내산 리뷰는 아니고 도반 영오님이 블로그에 리뷰 좀 쓰라고 책 빌려주셔서 숙제하는 기분으로 읽기 시작했는데, 읽다보니 지금 나에게 너무 필요한 정보들이길래 매우 몰입해서 읽었음
명상에 관심이 있는 사람이나 초보 수행자에게 큰 도움이 되리라 생각함
읽고나니까 아오 왜 이걸 이제 읽었나 처음 코스하고 바로 읽었으면 그동안 덜 처놀았을텐데 라는 생각이 들었는데
이 또한 집착이고 어차피 책이 작년에 출간되었다는 사실을 깨달음
 진정하세요